Гостра інтермітуюча порфірія, ускладнена синдромом задньої оборотної енцефалопатії: клінічний випадок
Дата публікації: 20.11.2025
Автори: Відкриті джерела , Редакція платформи «Аксемедін»
Ключові слова: МРТ, абдомінальний біль, ендотеліальна дисфункція, гіпертензія, енцефалопатія, гіпонатріємія, порфірія, магнітно-резонансна томографія, нейротоксичність, гостра інтермітуюча порфірія, вазогенний набряк, порфобіліноген, діагностика порфірії
Гостра інтермітуюча порфірія є рідкісним спадковим порушенням синтезу гему, яке часто неправильно діагностується через варіабельність і неспецифічність клінічних проявів. Гострі напади супроводжуються вираженим абдомінальним болем, дисфункцією вегетативної нервової системи та електролітними порушеннями.
У рідкісних випадках гостра інтермітуюча порфірія може ускладнюватися синдромом задньої оборотної енцефалопатії — станом, що проявляється судомами, головним болем, порушеннями зору, артеріальною гіпертензією та характерними змінами на магнітно-резонансній томографії. У статті представлено клінічний випадок 20-річної пацієнтки з гострою інтермітуючою порфірією, ускладненою синдромом задньої оборотної енцефалопатії, та наведено детальний аналіз патофізіологічних механізмів цього поєднання.
Вступ
Гостра інтермітуюча порфірія є спадковим дефектом синтезу гему, пов’язаним із недостатністю порфобіліногендеамінази. Це призводить до надмірного утворення та накопичення дельта-амінолевулінової кислоти та порфобіліногену — нейротоксичних попередників, які формують клінічний фенотип гострого нападу. Метаболіти порушують нейрональну функцію, регуляцію автономної нервової системи, електролітний баланс і мікроциркуляцію.
Синдром задньої оборотної енцефалопатії є клініко-радіологічним станом, що виникає внаслідок порушення ауторегуляції церебральних судин, підвищеного тиску, ендотеліальної дисфункції та розвитку вазогенного набряку. У пацієнтів з гострою інтермітуючою порфірією синдром задньої оборотної енцефалопатії зустрічається рідко, однак комбінація електролітних порушень, артеріальної гіпертензії та впливу нейротоксичних метаболітів значно підвищує ризик його розвитку.
Опис клінічного випадку
20-річна жінка звернулася до відділення невідкладної допомоги зі скаргами на інтенсивний абдомінальний біль, нудоту та блювання протягом п’яти днів. Симптоми збігалися з початком менструації. Біль оцінювався як максимальний. У пацієнтки раніше відзначались епізоди подібних симптомів, які інтерпретували як синдром канабіноїдної гіперемезису.
При госпіталізації відзначались:
- артеріальна гіпертензія,
- виражена тахікардія,
- зневоднення,
- дифузний біль при пальпації живота.
Лабораторні показники:
- підвищений рівень молочної кислоти (8,8 мг/дл),
- легка гіпонатріємія (135 → 131 ммоль/л),
- кетонурія.
На фоні дегідратації було запідозрено метаболічні та абдомінальні причини. Комп’ютерна томографія черевної порожнини, тазу та голови не виявила гострої патології. Пацієнтка отримувала внутрішньовенні інфузії та симптоматичну терапію.
На другий день госпіталізації рівень молочної кислоти повторно підвищився; тахікардія прогресувала. Ультразвукове дослідження та сканування гепатобіліарної системи виключили холецистит чи обструкцію.
На третій день з’явилися:
- затуманення зору,
- головний біль,
- різке підвищення артеріального тиску (до 167/110 мм рт. ст.).
Перегляньте запис:
Діагностика синдрому задньої оборотної енцефалопатії
Пацієнтку перевели до відділення інтенсивної терапії. Проведено:
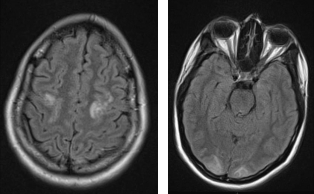
- магнітно-резонансну томографію головного мозку, яка виявила симетричні гіперінтенсивні ділянки в потиличних, тім’яних та лобових частках, характерні для синдрому задньої оборотної енцефалопатії;
- люмбальну пункцію, яка виключила інфекційний процес;
- розширену імунологічну панель — негативну.
Після контролю артеріального тиску повторна магнітно-резонансна томографія показала зменшення вазогенного набряку.

Оскільки пацієнтка мала рецидивуючий абдомінальний біль, гіпертензію, тахікардію, епізоди лактатацидозу та розвиток синдрому задньої оборотної енцефалопатії, було проведено аналіз сечі на порфобіліноген. Рівень порфобіліногену становив 781 мкмоль/л (значно вище норми).
Генетичне тестування пізніше підтвердило мутацію гена HMBS.
Обговорення
Патофізіологія гострої інтермітуючої порфірії
Нестача ферменту порфобіліногендеамінази спричиняє накопичення порфобіліногену та дельта-амінолевулінової кислоти, які мають такі ефекти:
- нейротоксичність,
- порушення регуляції автономної нервової системи,
- електролітні порушення, зокрема гіпонатріємія,
- метаболічні зміни, що можуть спричиняти повторні підйоми молочної кислоти.
Механізми розвитку синдрому задньої оборотної енцефалопатії при гострій інтермітуючій порфірії
Поєднання факторів є ключовим:
- підвищений артеріальний тиск,
- ендотеліальна дисфункція,
- електролітний дисбаланс,
- прямий токсичний вплив метаболітів порфіринового циклу на нейрони та клітини ендотелію.
Ці механізми призводять до порушення ауторегуляції мозкових судин, підвищення проникності гематоенцефалічного бар’єру та розвитку вазогенного набряку.
У пацієнтки симптоми кілька разів помилково інтерпретували як наслідок вживання канабісу або дисменорею. Подібні випадки часто ведуть до затримки діагнозу, що підвищує ризик тяжких ускладнень.
Клінічні уроки
- Пацієнти з рецидивуючим абдомінальним болем, гіпертензією, тахікардією та неврологічними проявами потребують виключення гострої інтермітуючої порфірії.
- Аналіз сечі на порфобіліноген є критично важливим і доступним методом первинної діагностики.
- Своєчасне виявлення гострої інтермітуючої порфірії запобігає розвитку небезпечних ускладнень, зокрема синдрому задньої оборотної енцефалопатії.
Висновки
Гостра інтермітуюча порфірія, ускладнена синдромом задньої оборотної енцефалопатії, є рідкісним, але надзвичайно серйозним станом, що потребує швидкої діагностики та інтенсивного лікування. Представлений клінічний випадок демонструє важливість ретельного збору анамнезу, широкого диференційного діагнозу та своєчасного застосування тестів на порфіриновий обмін. Раннє встановлення діагнозу та корекція тригерів можуть попередити тяжкі наслідки й покращити прогноз пацієнтів.
ДЖЕРЕЛО: Annals of Internal Medicine: Clinical Cases
На платформі Accemedin багато цікавих заходів! Аби не пропустити їх, підписуйтесь на наші сторінки! Facebook. Telegram. Viber. Instagram.
Щоб дати відповіді на запитання до цього матеріалу та отримати бали,
будь ласка, зареєструйтеся або увійдіть як користувач.
Реєстрація
Вхід
Матеріали з розділу
Протокол лікування рецидивуючого бронхіту ...
Від прокляття до протиракового препарату: ...
Експертні поради щодо підготовки до осіннь ...
Мініінвазивні оперативні втручання на нижн ...
Самоствердження допомагає подолати стрес с ...
FDA схвалює омалізумаб для множинної харчо ...


