Одночасний інфаркт міокарда з підйомом сегмента ST та інсульт: рідкісний випадок кардіоцеребрального інфаркту
Дата публікації: 16.10.2025
Автори: Відкриті джерела , Редакція платформи «Аксемедін»
Ключові слова: коронарна ангіографія, неврологія, клінічний випадок, кардіологія, гострий коронарний синдром, ішемічна хвороба серця, фібриляція передсердь, атеросклероз, фракція викиду, ішемічний інсульт, гепарин, ЧКВ, мультидисциплінарний підхід, реперфузійна терапія, тромболізис, судинна патологія, кардіоцеребральний інфаркт, інфаркт міокарда з підйомом сегмента ST, ішемічний інсульт,, гіпокінезія, сонна артерія, атеротромбоз, мозково-серцева вісь
Кардіоцеребральний інфаркт — це одночасний або послідовний розвиток інфаркту міокарда та інсульту. Представлений випадок 62-річної пацієнтки ілюструє клінічну складність ведення таких пацієнтів. Вона мала одночасно інфаркт міокарда з підйомом сегмента ST (ІМпST) та малий ішемічний інсульт. Коронарографія виявила багатосудинне ураження коронарних артерій із залученням тупих крайових гілок (OM1 та OM2). Після мультидисциплінарного обговорення було розпочато антикоагулянтну та подвійну антитромбоцитарну терапію, що спричинило усунення неврологічного дефіциту та успішне проведення перкутанного коронарного втручання (ЧКВ). Випадок демонструє складність лікування одночасних серцево-судинних та цереброваскулярних подій.
Кардіоцеребральний інфаркт (КЦІ) — надзвичайно рідкісний клінічний феномен, який становить серйозний виклик для лікарів. Відсутність чітких рекомендацій щодо послідовності втручань при одночасному інфаркті міокарда та інсульті створює труднощі для прийняття рішень. Цей випадок підкреслює важливість міждисциплінарного підходу, що поєднує зусилля кардіологів, неврологів, лікарів внутрішньої медицини, нейроінтервенційних спеціалістів та кардіоторакальних хірургів.
Пацієнтка 62 років із супутньою патологією (гіпертензія, гіперліпідемія, переддіабет, куріння, остеопороз, рак правої молочної залози, вроджена атрезія стравоходу) звернулася у відділення невідкладної допомоги з раптовим болем у грудях і лівій руці, слабкістю лівої половини тіла. Симптоми виникли 5 годин тому під час керування автомобілем.
Біль описувався як відчуття тиску в грудях із іррадіацією в спину. В анамнезі — епізод транзиторної ішемічної атаки три тижні тому.
Домашня терапія включала комбінацію блокатора рецепторів ангіотензину з діуретиком та антирезорбтивний препарат.
Фізикальні дані:
- Артеріальний тиск: 157/82 мм рт. ст.
- Частота пульсу: 99/хв
- Бал NIHSS — 5 (моторний дрейф лівої руки — 2; лівої ноги — 2; атаксія — 1).
ЕКГ: підйом сегмента ST у відведеннях II, III, aVF, V5, V6; депресія ST у aVR, aVL, V1, V2
Рівень тропоніну перевищував 25 000 нг/л. Активовано протоколи "код інфаркт" та "код інсульт".

Нейровізуалізація:
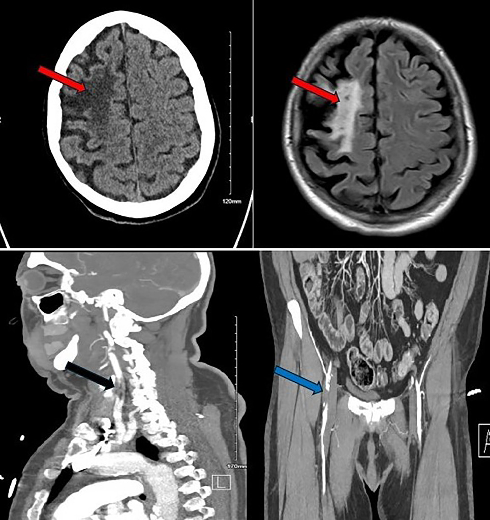
КТ/МРТ головного мозку — старий інфаркт у ділянці правої середньої мозкової артерії, без свіжих змін дифузії.
КТ-ангіографія — оклюзія правої внутрішньої сонної артерії, помірний стеноз лівої М2.

КТ-ангіографія грудної клітки, черевної порожнини та таза — виражений атеросклероз, оклюзія правої зовнішньої клубової артерії.
Через тривалість симптомів тромболізис не проводили. Було розпочато подвійну антитромбоцитарну терапію. Через 2 години після госпіталізації проведено коронарну ангіографію, яка виявила тяжке ураження кількох судин, у тому числі хронічну оклюзію правої коронарної артерії та субтотальні стенози OM1 і OM2.

Ехокардіографія показала фракцію викиду 45% із гіпокінезією нижньо-латеральних сегментів.
Тактика лікування:
Через ризик геморагічної трансформації інсульту втручання відклали до результатів МРТ. Після підтвердження відсутності крововиливу розпочато гепарин. Через 16 годин після надходження розпочато ДАТТ. Неврологічні симптоми регресували протягом 7 годин.
На другий день проведено ЧКВ із імплантацією стента в OM1, OM2 реваскуляризувалася спонтанно.
Після процедури стан пацієнтки стабілізувався, неврологічні симптоми зникли.
Виписана з рекомендаціями щодо продовження антитромбоцитарної, статинової, бета-блокаторної та антигіпертензивної терапії. Через 3 місяці — повне відновлення, NIHSS = 0.
Кардіоцеребральний інфаркт залишається клінічно рідкісним, але потенційно фатальним станом. Загальна смертність сягає 33% при виписці та до 49% через 3 місяці. Його поділяють на:
- Синхронний тип — одночасний інфаркт міокарда та ішемічний інсульт;
- Метахронний тип — послідовні події.
Патофізіологічні механізми включають:
- фібриляцію передсердь із системною емболізацією;
- розшарування аорти з подвійною емболією;
- електричні або вегетативні порушення, що спричиняють вазоспазм коронарних та мозкових артерій;
- кардіогенний шок, що знижує мозкову перфузію;
- ушкодження міокарда через інфаркт у ділянці інсулярної кори, яка регулює вегетативні реакції.
У метааналізі Habib та співавт. (n=94) смертність становила 33% у стаціонарі та 49% через три місяці. Аналіз de Castillo та колег показав, що лише 14% пацієнтів отримували реперфузійну терапію, більшість лікували медикаментозно.
Вибір тактики лікування при КЦІ залишається предметом дискусії. Якщо пацієнт гемодинамічно стабільний — першочерговим є проведення тромболізису або тромбектомії при гострому ішемічному інсульті. Якщо ж стан критичний — перевагу надають невідкладному ЧКВ.
У представленому випадку стабільна гемодинаміка та помірна неврологічна симптоматика дозволили відкласти ЧКВ до повної нейровізуалізації, що запобігло ризику крововиливу. Після відновлення неврологічного статусу ЧКВ дало повну реваскуляризацію без ускладнень.
Вроджена атрезія стравоходу, перенесена в дитинстві, може бути асоційована з вадами розвитку серця та судин, що частково пояснює поєднання тяжкого атеросклерозу та оклюзії кількох судин у цієї пацієнтки.
Кардіоцеребральний інфаркт — це надзвичайно складний для діагностики й лікування стан, який вимагає швидкої координації між кардіологами та неврологами.
Основні принципи ведення включають:
- ранню нейровізуалізацію для виключення крововиливу;
- баланс між реперфузійною терапією серця та головного мозку;
- поступовий, індивідуальний підхід з оцінкою ризику кровотеч;
- мультидисциплінарну взаємодію всіх спеціалістів.
Цей клінічний випадок підтверджує, що у ретельно підібраних пацієнтів із синхронним інфарктом міокарда та ішемічним інсультом можливо досягти повного відновлення без ускладнень.
ДЖЕРЕЛО: Annals of Internal Medicine: Clinical Cases
На платформі Accemedin багато цікавих заходів! Аби не пропустити їх, підписуйтесь на наші сторінки! Facebook. Telegram. Viber. Instagram.
Щоб дати відповіді на запитання до цього матеріалу та отримати бали,
будь ласка, зареєструйтеся або увійдіть як користувач.
Реєстрація
Вхід
Матеріали з розділу
Серцева ресинхронізуюча терапія при серцев ...
Досвід застосування відеоторакоскопії у ді ...
Прийнято закон «Про систему громадського з ...
Чому симптоми менструації можуть посилюват ...
Актуальні проблеми сучасної пульмонології
Базисна спірометрія

