Випадок шкірного висипу, спричиненого гідроксихлорохіном, з атиповими ознаками у пацієнта, якому нещодавно діагностували системний червоний вовчак
Дата публікації: 02.10.2025
Автори: Відкриті джерела , Редакція платформи «Аксемедін»
Ключові слова: системний червоний вовчак, гідроксихлорохін, гістопатологія, гострий генералізований екзантематозний пустульоз, медикаментозний висип, підгострий шкірний червоний вовчак, синдром Стівенса–Джонсона, дерматологічні побічні ефекти
Гідроксихлорохін (ГХХ) є базовим препаратом у лікуванні системного червоного вовчака (СЧВ) завдяки його імуномодулюючим властивостям і загалом сприятливому профілю безпеки. Незважаючи на це, відомо про спектр побічних дерматологічних реакцій, пов’язаних із прийомом ГХХ — від поширених екзантематозних висипань до рідкісних і потенційно небезпечних станів, таких як гострий генералізований екзантематозний пустульоз (AGEP).
Ми представляємо клінічний випадок 35-річної жінки з нещодавно встановленим діагнозом СЧВ, у якої після початку терапії ГХХ виник атиповий медикаментозний висип із проявами, що вимагали ретельної диференційної діагностики.
Клінічний випадок
Пацієнтка, 35 років, із діагнозом СЧВ (лейкопенія, низький рівень комплементу C4, синовіт, втома, позитивні антинуклеарні антитіла) розпочала терапію ГХХ у дозі 200 мг/2,8 мг/кг маси тіла щодня. Через місяць після початку лікування звернулася до відділення невідкладної допомоги зі скаргами на новий висип.
Клінічні особливості
- Дифузна еритема з кільцеподібними та поліциклічними ураженнями, периферичне лущення.
- Наявність розсіяних пустул.
- Виразки слизової оболонки, частково зниклі на момент госпіталізації.
- В анамнезі — сонячне опромінення за 2 дні до появи висипу.

- Легка лімфопенія (0,80 × 10⁹/л).
- Низький/нормальний рівень комплементу (C3, C4).
- Позитивні ANA, підвищені антитіла до дволанцюгової ДНК.
- Підгострий шкірний червоний вовчак (SCLE).
- Медикаментозний висип, асоційований із ГХХ.
- AGEP.
Перегляньте записи:
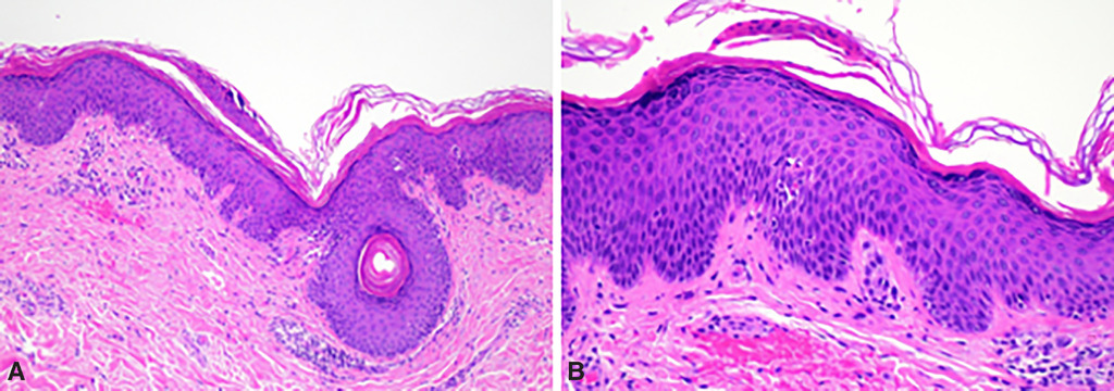
Перша біопсія: мінімальна епідермальна гіперплазія, ділянки паракератозу, внутрішньоепідермальні нейтрофіли, вакуолярний інтерфейсний дерматит, поодинокі дискератотичні кератиноцити, поверхневий периваскулярний лімфоцитарний інфільтрат. Зміни розцінено як сумісні з медикаментозним висипом.
Друга біопсія: підтверджено AGEP (субкорнеальні та внутрішньоепідермальні пустули, ортокератоз, легкі губчасті пустули по краях).

Перебіг лікування
- Відміна ГХХ.
- Системні кортикостероїди (1 мг/кг/добу).
- Підтримуюча терапія (рідини, електроліти).
- Повторна госпіталізація через погіршення (везикули, синдром перекриття Стівенса–Джонсона).
- Продовжена імуносупресивна терапія.
- Повне зникнення висипу через 3 місяці спостереження.
Обговорення
ГХХ, незважаючи на широке використання при СЧВ, може викликати низку дерматологічних реакцій. Найпоширеніші:
- Екзантематозні висипання (~5% випадків), зазвичай доброякісні.
- Кропив’янка та фотосенсибілізація.
- Рідкісні тяжкі реакції: AGEP, вовчакоподібні висипання.
Також рекомендуємо розділ Протоколи,
що містить адаптовані для системи охорони здоров’я України
клінічні настанови та протоколи, що слугують доказовою основою для ефективного лікування.
Гістологія є ключем для диференціації:
- SCLE: інтерфейсний дерматит, гіперкератоз, муцин, лімфоцитарна інфільтрація, без еозинофілів та нейтрофільних пустул.
- AGEP: субкорнеальні пустули, нейтрофільна інфільтрація.
У нашому випадку сукупність клінічних, лабораторних і гістологічних даних підтвердила діагноз AGEP, індукованого ГХХ.
Висновки
- Гідроксихлорохін, попри свою ключову роль у лікуванні СЧВ, може провокувати рідкісні та серйозні шкірні побічні реакції.
- AGEP слід включати в диференційний діагноз при появі висипань у пацієнтів, які розпочали терапію ГХХ.
- Раннє виявлення та відміна препарату є критично важливими для запобігання ускладнень.
- Біопсія шкіри залишається визначальним методом у розмежуванні між медикаментозними висипами та загостренням СЧВ.
ДЖЕРЕЛО: Annals of Internal Medicine: Clinical Cases
На платформі Accemedin багато цікавих заходів! Аби не пропустити їх, підписуйтесь на наші сторінки! Facebook. Telegram. Viber. Instagram.
Щоб дати відповіді на запитання до цього матеріалу та отримати бали,
будь ласка, зареєструйтеся або увійдіть як користувач.
Реєстрація
Вхід
Матеріали з розділу
Синдром Ретта: генетика, клінічні особливо ...
Клінічна настанова: Пневмонія у дітей. Лік ...
МОЗ опубліковано проєкт стандарту реабіліт ...
Клінічний випадок: незрощений перелом човн ...
Клінічні випадки. Зелена сеча
Клінічне завдання. Торакальний біль і пору ...

